The National Cancer Institute and the Centers for Disease Control and Prevention took efforts to compile the incidence of cancer and mortality statistics for 1999-2004. The top 10 most common types of cancer diagnosed in U.S. women are:
1. Breast Cancer
Breast cancer is a disease in which malignant cells form in the breast tissues. The breast comprises of ducts and lobes. The sections called lobes in the breasts have several smaller sections called lobules. Lobules end in dozens of tiny bulbs that can produce milk.
2. Lung Cancer
When uncontrolled cell growth is seen in the tissues of the lungs, Lung cancer is said to develop. This growth can lead to metastasis, which is the infiltration or invasion of adjacent tissue. Carcinomas of the lung are the majority of primary lung cancers. Lung cancer is the most common cause of cancer-related death in men and the second most common in women.
3. Colon and Rectal Cancer
When malignant cancer cells develop in the tissues of the rectum, rectal cancer is said to develop. The rectum is part of the body’s digestive system. Its primary function is to store formed stool in preparation for evacuation.
4. Uterine Cancer
When malignant cancer cells form in the uterine muscles or other tissues that support the uterus, uterine sarcoma is said to develop. The uterus is part of the female reproductive system. It is a pear shaped, hollow organ in the pelvis, where a fetus grows.
5. Non-Hodgkin Lymphoma
Non-Hodgkin’s lymphoma (NHL) refers to the cancer of the cells of the lymphatic system. When a person suffers from non-Hodgkin’s lymphoma, cells in the lymphatic system divide or grow uncontrollably or the older cells do not die as they normally do. Non-Hodgkin’s lymphoma can occur in the spleen, a single lymph node or a bunch of lymph nodes.
6. Skin Melanomas
When malignant cells form in the melanocytes or the skin cells, melanoma is said to occur. Melanocytes can be found in the entire lower part of the epidermis. They produce melanin which gives skin its pigment or color.
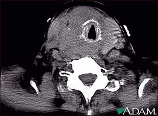
7. Thyroid Cancer
The most common thyroid cancer types are follicular and papillary which are very curable. If treated correctly, both papillary and follicular cancers have a more than 97% cure rate in young people. In the case of both papillary and follicular cancers, there is complete removal of the lobe of the thyroid where the cancer originates along with the removal of most or all of the other side.
8. Ovarian Cancer
The ovary is the female reproductive organ located in the pelvis. Its primary function is to store eggs and produce female hormones. Women have two ovaries, one on each side of the uterus. Ovarian tumors can be non-cancerous tissue growths or cancerous in nature which can spread to other parts of the body.
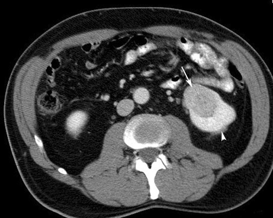
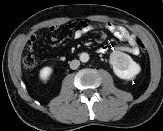
9. Renal Cancer
When malignant cells form in the tubules of the kidneys, renal cell cancer is said to develop. Renal cell cancer is also called renal adenocarcinoma. Humans have 2 kidneys, one on each side of the backbone. The tiny tubules have the responsibility of cleaning and filtering the blood and eliminating the waste products through urine formation.
10. Pancreatic Cancer
Pancreatic cancer is a disease in which malignant cells form in the pancreatic tissues. The pancreas is a gland about 6 inches long lying behind the stomach in front of the spine. It looks like a thin pear. Pancreatic cancer is sometimes called a “silent killer” because early pancreatic cancer is accompanied by lack of symptoms and the symptoms that appear later are varied and non-specific.











freeads
Classifieds Advertisings perceives all free,} has learned all.Try sell and purchase you’ll enjoy it.Pets,Business,PROPERTY,Vehicles advertisings shows good tastes,Our careers offer is bigger!
alo 789: alo789 – alo789
cheapest online pharmacy india india online pharmacy store india pharmacy without prescription
order medicines online india: online pharmacy india – IndiaMedFast
http://indiamedfast.com/# cheapest online pharmacy india
canadian drugs pharmacy
mexican pharmacy online: buying from online mexican pharmacy – mexican pharmacy online
reliable mexican pharmacies mexican pharmacy online order MexicanPharmInter
https://interpharmonline.shop/# legit canadian pharmacy
safe canadian pharmacies
https://interpharmonline.com/# canadian drug stores
thecanadianpharmacy
https://mexicanpharminter.shop/# Mexican Pharm International
canadian compounding pharmacy
https://interpharmonline.shop/# canada rx pharmacy
trusted canadian pharmacy: canada pharmacy no prescription – reliable canadian online pharmacy
https://indiamedfast.shop/# IndiaMedFast
canadian pharmacy online store
canadian pharmacy: Pharmacies in Canada that ship to the US – canadian pharmacies that deliver to the us
https://indiamedfast.com/# cheapest online pharmacy india
canadian pharmacies: most trusted canadian pharmacies online – safe online pharmacies in canada
https://interpharmonline.shop/# buy canadian drugs
canada ed drugs
cheap canadian pharmacy fda approved canadian online pharmacies legitimate canadian pharmacy online
my canadian pharmacy: fda approved canadian online pharmacies – canadianpharmacymeds com
http://mexicanpharminter.com/# mexican pharmacy online store
legal to buy prescription drugs from canada: fda approved canadian online pharmacies – online pharmacy canada
https://mexicanpharminter.com/# mexican drug stores online
canadian pharmacy prices
KamagraKopen.pro: KamagraKopen.pro – kamagra jelly kopen
TadalafilEasyBuy.com TadalafilEasyBuy.com TadalafilEasyBuy.com
http://generic100mgeasy.com/# best price for viagra 100mg
https://generic100mgeasy.com/# Generic 100mg Easy
cialis without a doctor prescription: TadalafilEasyBuy.com – cialis without a doctor prescription
kamagra kopen nederland: kamagra 100mg kopen – Officiele Kamagra van Nederland
https://kamagrakopen.pro/# kamagra gel kopen
kamagra pillen kopen: Kamagra Kopen Online – kamagra jelly kopen
Kamagra Kamagra Kopen kamagra jelly kopen
kamagra 100mg kopen: Kamagra Kopen – kamagra 100mg kopen
http://generic100mgeasy.com/# Generic100mgEasy
kamagra gel kopen: Kamagra Kopen – kamagra gel kopen
Officiele Kamagra van Nederland: kamagra jelly kopen – kamagra kopen nederland
https://kamagrakopen.pro/# KamagraKopen.pro
https://kamagrakopen.pro/# KamagraKopen.pro
kamagra jelly kopen Kamagra Kopen KamagraKopen.pro
buy generic 100mg viagra online: Viagra tablet online – Generic100mgEasy
TadalafilEasyBuy.com: cialis without a doctor prescription – Generic Cialis price
http://tadalafileasybuy.com/# TadalafilEasyBuy.com
https://kamagrakopen.pro/# Kamagra Kopen
Generic 100mg Easy: Generic100mgEasy – buy generic 100mg viagra online
Generic100mgEasy Order Viagra 50 mg online Generic100mgEasy
http://generic100mgeasy.com/# sildenafil over the counter
http://tadalafileasybuy.com/# cialis without a doctor prescription
https://tadalafileasybuy.com/# Tadalafil Easy Buy
Tadalafil Easy Buy: cialis without a doctor prescription – Tadalafil Easy Buy
Generic 100mg Easy: Generic 100mg Easy – Generic100mgEasy
Generic 100mg Easy buy generic 100mg viagra online buy viagra here
https://kamagrakopen.pro/# kamagra gel kopen
Generic Cialis price: cialis without a doctor prescription – cialis without a doctor prescription
Generic100mgEasy: Generic 100mg Easy – Generic100mgEasy
https://kamagrakopen.pro/# Kamagra
Generic 100mg Easy: buy Viagra online – Viagra tablet online
https://kamagrakopen.pro/# kamagra gel kopen
Kamagra Kopen Online: Officiele Kamagra van Nederland – kamagra pillen kopen
Cialis 20mg price in USA Tadalafil Easy Buy cialis without a doctor prescription
http://tadalafileasybuy.com/# Tadalafil Easy Buy
https://kamagrakopen.pro/# kamagra gel kopen
KamagraKopen.pro: kamagra 100mg kopen – Officiele Kamagra van Nederland
Cialis over the counter: TadalafilEasyBuy.com – cialis without a doctor prescription
http://tadalafileasybuy.com/# Tadalafil price
пин ап зеркало: https://pinupkz.life/
Tadalafil Easy Buy buy cialis pill Tadalafil Easy Buy
pinup 2025 – пин ап казино
пин ап – пин ап вход
пин ап казино официальный сайт: https://pinupkz.life/
пин ап зеркало – пин ап казино зеркало
пин ап – пин ап казино официальный сайт
пин ап казино: https://pinupkz.life/
пин ап казино – pinup 2025
Tadalafil Easy Buy TadalafilEasyBuy.com TadalafilEasyBuy.com
пин ап казино зеркало – пин ап вход
пин ап вход: https://pinupkz.life/
пинап казино – pinup 2025
пин ап казино: https://pinupkz.life/
TadalafilEasyBuy.com Tadalafil Easy Buy Tadalafil Easy Buy
пинап казино – пин ап зеркало
пин ап казино – пин ап зеркало
пин ап казино официальный сайт: https://pinupkz.life/
пин ап казино официальный сайт – pinup 2025
pinup 2025 – пин ап казино зеркало
cialis without a doctor prescription Tadalafil Easy Buy Tadalafil Easy Buy
пин ап: https://pinupkz.life/
пин ап казино – пинап казино
пин ап казино официальный сайт – пин ап
пинап казино: https://pinupkz.life/
пин ап вход – pinup 2025
пинап казино – пинап казино
apotek online Apoteket online apotek online
https://apotekonlinerecept.shop/# Apotek hemleverans idag
de online drogist kortingscode: ApotheekMax – Betrouwbare online apotheek zonder recept
online apotheek: online apotheek – online apotheek
https://kamagrapotenzmittel.com/# Kamagra online bestellen
https://apotekonlinerecept.shop/# apotek online
online apotheek Betrouwbare online apotheek zonder recept Online apotheek Nederland met recept
Kamagra Gel: Kamagra Gel – Kamagra Original
Kamagra kaufen: kamagra – kamagra
https://apotheekmax.shop/# Apotheek online bestellen
https://apotekonlinerecept.shop/# Apoteket online
de online drogist kortingscode: online apotheek – Apotheek online bestellen
apotek online recept: Apoteket online – apotek pa nett
Online apotheek Nederland zonder recept de online drogist kortingscode Online apotheek Nederland zonder recept
https://apotheekmax.shop/# Apotheek Max
Apotheek Max: Betrouwbare online apotheek zonder recept – Apotheek online bestellen
Betrouwbare online apotheek zonder recept: Betrouwbare online apotheek zonder recept – online apotheek
https://kamagrapotenzmittel.shop/# Kamagra kaufen ohne Rezept
ApotheekMax: Online apotheek Nederland zonder recept – Online apotheek Nederland zonder recept
http://kamagrapotenzmittel.com/# Kamagra Original
Kamagra online bestellen Kamagra online bestellen Kamagra Oral Jelly
Apotek hemleverans idag: Apotek hemleverans idag – Apotek hemleverans idag
apotek online: Apotek hemleverans recept – apotek pa nett
https://apotekonlinerecept.com/# apotek online
Betrouwbare online apotheek zonder recept: online apotheek – Apotheek Max
http://kamagrapotenzmittel.com/# Kamagra Original
Kamagra Oral Jelly kaufen kamagra Kamagra Oral Jelly kaufen
Kamagra Oral Jelly: Kamagra kaufen ohne Rezept – Kamagra online bestellen
https://apotekonlinerecept.shop/# Apotek hemleverans recept
https://apotheekmax.shop/# Betrouwbare online apotheek zonder recept
Apotek hemleverans recept: apotek online recept – apotek online
Kamagra online bestellen: Kamagra Gel – Kamagra kaufen ohne Rezept
https://apotekonlinerecept.com/# Apotek hemleverans idag
apotek online Apotek hemleverans recept apotek online
Kamagra Original: Kamagra Oral Jelly – Kamagra Original
Beste online drogist: Online apotheek Nederland zonder recept – ApotheekMax
https://kamagrapotenzmittel.com/# Kamagra kaufen ohne Rezept
Online apotheek Nederland zonder recept: Online apotheek Nederland zonder recept – Apotheek Max
Kamagra online bestellen: Kamagra kaufen – Kamagra Oral Jelly kaufen
Online apotheek Nederland met recept Online apotheek Nederland met recept Betrouwbare online apotheek zonder recept
https://kamagrapotenzmittel.shop/# Kamagra Gel
https://apotheekmax.shop/# Betrouwbare online apotheek zonder recept
Apotek hemleverans recept: apotek online recept – apotek pa nett
Betrouwbare online apotheek zonder recept: Apotheek online bestellen – Online apotheek Nederland zonder recept
mexico pharmacies prescription drugs mexican pharmaceuticals online Agb Mexico Pharm
canada drug pharmacy: GoCanadaPharm – vipps canadian pharmacy
online pharmacy india: www india pharm – indian pharmacy online
https://agbmexicopharm.shop/# п»їbest mexican online pharmacies
best india pharmacy: www india pharm – top 10 online pharmacy in india
canadadrugpharmacy com: go canada pharm – legit canadian pharmacy
cheapest pharmacy canada: GoCanadaPharm – canadian pharmacy 24h com
buy prescription drugs from india www india pharm www india pharm
https://gocanadapharm.shop/# canadian pharmacy meds reviews
indian pharmacy online: www india pharm – indian pharmacy
Agb Mexico Pharm: best online pharmacies in mexico – Agb Mexico Pharm
canadapharmacyonline com: northern pharmacy canada – escrow pharmacy canada
https://gocanadapharm.com/# reliable canadian online pharmacy
mexican drugstore online: mexican pharmaceuticals online – buying prescription drugs in mexico online
india pharmacy mail order www india pharm п»їlegitimate online pharmacies india
https://wwwindiapharm.com/# www india pharm
Agb Mexico Pharm: Agb Mexico Pharm – buying prescription drugs in mexico
canadian family pharmacy: go canada pharm – cross border pharmacy canada
pharmacies in mexico that ship to usa medicine in mexico pharmacies mexican drugstore online
http://agbmexicopharm.com/# Agb Mexico Pharm
mail order pharmacy india: www india pharm – www india pharm
www india pharm: www india pharm – www india pharm
buying from online mexican pharmacy: Agb Mexico Pharm – Agb Mexico Pharm
https://wwwindiapharm.com/# www india pharm
reputable indian online pharmacy: india online pharmacy – www india pharm
online shopping pharmacy india: mail order pharmacy india – mail order pharmacy india
п»їlegitimate online pharmacies india www india pharm indian pharmacy paypal
best online canadian pharmacy: GoCanadaPharm – canadian pharmacy near me
https://agbmexicopharm.com/# Agb Mexico Pharm
mexican online pharmacies prescription drugs: best online pharmacies in mexico – mexico drug stores pharmacies
online canadian pharmacy review go canada pharm canada pharmacy online
http://gocanadapharm.com/# canadian drug pharmacy
canadianpharmacyworld com: go canada pharm – canadian discount pharmacy
my canadian pharmacy reviews: GoCanadaPharm – global pharmacy canada
www india pharm: www india pharm – mail order pharmacy india
cheapest online pharmacy india: www india pharm – online pharmacy india
canadian pharmacy meds: GoCanadaPharm – canadian pharmacy online store
https://wwwindiapharm.com/# www india pharm
Clom Fast Pharm Clom Fast Pharm cost cheap clomid online
Clom Fast Pharm: Clom Fast Pharm – Clom Fast Pharm
lisinopril 2 5 mg tablets: Lisin Express – Lisin Express
how to get zithromax over the counter: ZithPharmOnline – ZithPharmOnline
http://zithpharmonline.com/# can i buy zithromax online
where can i buy generic clomid without dr prescription: Clom Fast Pharm – get cheap clomid without insurance
Lisin Express Lisin Express Lisin Express
Pred Pharm Net: prednisone pharmacy – prednisone tablets canada
amoxicillin 500 mg without prescription: AmOnlinePharm – AmOnlinePharm
can you buy prednisone without a prescription: prednisone pharmacy prices – average cost of prednisone
Pred Pharm Net: Pred Pharm Net – Pred Pharm Net
http://lisinexpress.com/# zestril 5 mg prices
buying prednisone: prednisone 20mg online without prescription – prednisone 10 mg brand name
ZithPharmOnline: zithromax 500 price – buy zithromax online with mastercard
buy amoxicillin 500mg uk AmOnlinePharm amoxicillin 50 mg tablets
amoxicillin 500mg for sale uk: cost of amoxicillin prescription – purchase amoxicillin online without prescription
Clom Fast Pharm: Clom Fast Pharm – Clom Fast Pharm
ZithPharmOnline: ZithPharmOnline – generic zithromax online paypal
can i order clomid pill: get clomid online – Clom Fast Pharm
https://lisinexpress.shop/# lisinopril 20 25 mg tab
AmOnlinePharm: AmOnlinePharm – amoxicillin 500mg tablets price in india
get generic clomid without prescription: Clom Fast Pharm – Clom Fast Pharm
lisinopril in mexico: prescription medicine lisinopril – Lisin Express
https://clomfastpharm.shop/# how can i get clomid without insurance
zithromax 500mg price in india: generic zithromax 500mg – zithromax online usa no prescription
can you buy generic clomid no prescription: can you buy clomid – can i purchase clomid tablets
zithromax z-pak price without insurance zithromax drug where can i buy zithromax capsules
https://zithpharmonline.com/# ZithPharmOnline
Clom Fast Pharm: cost cheap clomid now – buy generic clomid without insurance
ZithPharmOnline: buy generic zithromax no prescription – ZithPharmOnline
https://lisinexpress.com/# Lisin Express
Pred Pharm Net 15 mg prednisone daily prednisone 20mg tablets where to buy
amoxicillin 500 tablet: amoxicillin 500mg capsule – AmOnlinePharm
Lisin Express: zestril 2.5 mg tablets – prinivil 25mg
Lisin Express: zestoretic 20 25 mg – Lisin Express
http://clomfastpharm.com/# Clom Fast Pharm
can you buy lisinopril over the counter: lisinopril 20 – lisinopril 5 mg india price
AmOnlinePharm: amoxicillin 500 mg capsule – AmOnlinePharm
http://clomfastpharm.com/# Clom Fast Pharm
prednisone 54 prednisone 20 mg tablet price Pred Pharm Net
prednisone 5 mg tablet: prednisone 20mg – Pred Pharm Net
sweet bonanza slot: sweet bonanza demo – sweet bonanza giris sweetbonanza1st.shop
slot casino siteleri: casino siteleri 2025 – casino siteleri 2025 casinositeleri1st.com
lisansl? casino siteleri: lisansl? casino siteleri – slot casino siteleri casinositeleri1st.com
https://casinositeleri1st.com/# casino siteleri 2025
canlД± bahis oyunlarД±: casibom giris – en gГјvenilir bahis siteleri casibom1st.com
guvenilir casino siteleri casino siteleri 2025 casino gГјncel giriЕџ casinositeleri1st.shop
deneme bonusu veren siteler: casino siteleri – deneme bonusu veren siteler casinositeleri1st.com
guvenilir casino siteleri: guvenilir casino siteleri – casino siteleri casinositeleri1st.com
slot casino siteleri: casino siteleri – casino siteleri 2025 casinositeleri1st.com
tl casino casibom giris yeni deneme bonusu veren siteler 2025 casibom1st.shop
slot oyunlarД±: lisansl? casino siteleri – casino siteleri 2025 casinositeleri1st.com
bonus veren siteler: casibom – casino maxi casibom1st.com
sweet bonanza 1st: sweet bonanza slot – sweet bonanza yorumlar sweetbonanza1st.shop
https://casinositeleri1st.com/# betboo plus
guvenilir casino siteleri: slot casino siteleri – slot casino siteleri casinositeleri1st.com
sweet bonanza: sweet bonanza oyna – sweet bonanza siteleri sweetbonanza1st.shop
sweet bonanza oyna sweet bonanza demo sweet bonanza yorumlar sweetbonanza1st.com
I think this internet site holds some real excellent info for everyone. “Few friendships would survive if each one knew what his friend says of him behind his back.” by Blaise Pascal.
sweet bonanza oyna: sweet bonanza oyna – sweet bonanza oyna sweetbonanza1st.shop
sweet bonanza slot: sweet bonanza yorumlar – sweet bonanza siteleri sweetbonanza1st.shop
casino siteleri: en iyi kumar siteleri – slot casino siteleri casinositeleri1st.com
lisansl? casino siteleri: lisansl? casino siteleri – deneme bonusu veren siteler casinositeleri1st.com
sweet bonanza: sweet bonanza 1st – sweet bonanza siteleri sweetbonanza1st.shop
deneme bonusu veren siteler: en Г§ok kazandД±ran site – guvenilir casino siteleri casinositeleri1st.com
sweet bonanza oyna: sweet bonanza siteleri – sweet bonanza 1st sweetbonanza1st.shop
casino siteleri: deneme bonusu veren siteler – deneme bonusu veren siteler casinositeleri1st.com
en iyi bahis uygulamasД± casibom guncel giris bahis siteleei casibom1st.shop
http://casinositeleri1st.com/# deneme bonusu veren siteler
deneme bonusu veren siteler: slot casino siteleri – slot casino siteleri casinositeleri1st.com
bonus veren yasal bahis siteleri: casibom guncel giris – gГјvenilir casino bahis siteleri casibom1st.com
bahis oyun siteleri: casibom giris – lisanslД± bahis sitesi casibom1st.com
en Г§ok kazandД±ran site: guvenilir casino siteleri – deneme bonusu veren siteler casino casinositeleri1st.com
hangi bahis siteleri bonus veriyor? casibom 1st yasal kumar oyunlarД± casibom1st.shop
casino deneme bonusu veren bahis siteleri: casibom giris – kumar oynama siteleri casibom1st.com
http://casinositeleri1st.com/# guvenilir casino siteleri
sweet bonanza demo: sweet bonanza giris – sweet bonanza siteleri sweetbonanza1st.shop
certified Mexican pharmacy: mexican pharmacy – mexican pharmacy
Us Mex Pharm: USMexPharm – mexican rx online
Us Mex Pharm: certified Mexican pharmacy – certified Mexican pharmacy
certified Mexican pharmacy mexican pharmacy buying prescription drugs in mexico
USMexPharm: UsMex Pharm – mexican pharmacy
UsMex Pharm: certified Mexican pharmacy – mexico drug stores pharmacies
UsMex Pharm: certified Mexican pharmacy – UsMex Pharm
UsMex Pharm: USMexPharm – Us Mex Pharm
medicine in mexico pharmacies: UsMex Pharm – Mexican pharmacy ship to USA
certified Mexican pharmacy Us Mex Pharm USMexPharm
Us Mex Pharm: usa mexico pharmacy – USMexPharm
Mexican pharmacy ship to USA: certified Mexican pharmacy – Mexican pharmacy ship to USA
UsMex Pharm: UsMex Pharm – certified Mexican pharmacy
mexican pharmacy: mexican pharmacy – certified Mexican pharmacy
https://usmexpharm.shop/# Mexican pharmacy ship to USA
UsMex Pharm pharmacies in mexico that ship to usa Mexican pharmacy ship to USA
mexican rx online: certified Mexican pharmacy – Us Mex Pharm
Mexican pharmacy ship to USA: usa mexico pharmacy – Us Mex Pharm
http://usmexpharm.com/# mexican rx online
mexico drug stores pharmacies: certified Mexican pharmacy – mexican pharmacy
USMexPharm: Mexican pharmacy ship to USA – Mexican pharmacy ship to USA
certified Mexican pharmacy USMexPharm USMexPharm
https://usmexpharm.com/# Mexican pharmacy ship to USA
mexican pharmacy: mexican pharmacy – certified Mexican pharmacy
USMexPharm: mexican pharmacy – usa mexico pharmacy
Mexican pharmacy ship to USA: mexican border pharmacies shipping to usa – usa mexico pharmacy
https://usmexpharm.shop/# buying from online mexican pharmacy
Us Mex Pharm: mexican pharmacy – mexican mail order pharmacies
USA India Pharm USA India Pharm UsaIndiaPharm
top 10 pharmacies in india: UsaIndiaPharm – UsaIndiaPharm
https://usaindiapharm.shop/# UsaIndiaPharm
buy prescription drugs from india: online shopping pharmacy india – USA India Pharm
best online pharmacy india: indian pharmacy paypal – buy prescription drugs from india
cheapest online pharmacy india: USA India Pharm – UsaIndiaPharm
best online pharmacy india: UsaIndiaPharm – UsaIndiaPharm
USA India Pharm UsaIndiaPharm UsaIndiaPharm
USA India Pharm: indian pharmacies safe – USA India Pharm
world pharmacy india: best india pharmacy – indianpharmacy com
USA India Pharm: pharmacy website india – online shopping pharmacy india
UsaIndiaPharm: UsaIndiaPharm – UsaIndiaPharm
UsaIndiaPharm: USA India Pharm – UsaIndiaPharm
USA India Pharm: USA India Pharm – UsaIndiaPharm
Online medicine order buy prescription drugs from india top 10 online pharmacy in india
https://usaindiapharm.shop/# UsaIndiaPharm
india pharmacy: pharmacy website india – USA India Pharm
indian pharmacy online: п»їlegitimate online pharmacies india – UsaIndiaPharm
cheapest online pharmacy india: UsaIndiaPharm – UsaIndiaPharm
http://usaindiapharm.com/# UsaIndiaPharm
USA India Pharm: best india pharmacy – best india pharmacy
india pharmacy mail order: top online pharmacy india – buy prescription drugs from india
indian pharmacy paypal top 10 online pharmacy in india india pharmacy
india pharmacy: USA India Pharm – п»їlegitimate online pharmacies india
https://usaindiapharm.com/# indian pharmacy online
UsaIndiaPharm: UsaIndiaPharm – buy prescription drugs from india
pharmacy website india: india online pharmacy – USA India Pharm
http://usaindiapharm.com/# indian pharmacy
USA India Pharm: USA India Pharm – UsaIndiaPharm
buy prescription drugs from india UsaIndiaPharm best india pharmacy
UsaIndiaPharm: USA India Pharm – india pharmacy
UsaIndiaPharm: indian pharmacy paypal – USA India Pharm
UsaIndiaPharm: USA India Pharm – UsaIndiaPharm
USA India Pharm: top online pharmacy india – UsaIndiaPharm
USA India Pharm USA India Pharm UsaIndiaPharm
https://usaindiapharm.shop/# best india pharmacy
reputable indian pharmacies: USA India Pharm – USA India Pharm
india pharmacy: mail order pharmacy india – indian pharmacies safe
USA India Pharm: USA India Pharm – mail order pharmacy india
https://usaindiapharm.shop/# UsaIndiaPharm
indian pharmacy online: indianpharmacy com – USA India Pharm
online shopping pharmacy india: mail order pharmacy india – best india pharmacy
online shopping pharmacy india: UsaIndiaPharm – USA India Pharm
india online pharmacy USA India Pharm USA India Pharm
Online medicine order: UsaIndiaPharm – Online medicine order
http://usaindiapharm.com/# indian pharmacies safe
UsaIndiaPharm: USA India Pharm – UsaIndiaPharm
buy prescription drugs from india: buy prescription drugs from india – india pharmacy mail order
canadian pharmacy online ship to usa canadian online pharmacy reviews USACanadaPharm
usa canada pharm: usa canada pharm – canadian pharmacy reviews
USACanadaPharm: canadian pharmacy prices – canadian pharmacies that deliver to the us
http://usacanadapharm.com/# canada pharmacy world
canadian pharmacy 24h com: is canadian pharmacy legit – USACanadaPharm
USACanadaPharm: usa canada pharm – canadian world pharmacy
best online canadian pharmacy USACanadaPharm usa canada pharm
pharmacies in canada that ship to the us: cheap canadian pharmacy online – best canadian pharmacy online
USACanadaPharm: legitimate canadian online pharmacies – cheapest pharmacy canada
canadian online pharmacy canadian family pharmacy canadian pharmacy phone number
http://usacanadapharm.com/# USACanadaPharm
canada drug pharmacy: canadianpharmacymeds – USACanadaPharm
canadian pharmacy store: USACanadaPharm – USACanadaPharm
canadian pharmacy prices: vipps canadian pharmacy – legal to buy prescription drugs from canada
https://usacanadapharm.shop/# USACanadaPharm
pharmacy com canada: usa canada pharm – usa canada pharm
buy drugs from canada: legitimate canadian pharmacy – USACanadaPharm
USACanadaPharm canada drugs online canadian discount pharmacy
http://usacanadapharm.com/# usa canada pharm
usa canada pharm: reddit canadian pharmacy – USACanadaPharm
vipps approved canadian online pharmacy: USACanadaPharm – USACanadaPharm
http://usacanadapharm.com/# cheapest pharmacy canada
usa canada pharm: is canadian pharmacy legit – canada drugstore pharmacy rx
usa canada pharm USACanadaPharm best canadian online pharmacy
escrow pharmacy canada: usa canada pharm – canadian pharmacy online
https://usacanadapharm.com/# USACanadaPharm
USACanadaPharm: canadian pharmacies compare – canadian 24 hour pharmacy
canadian pharmacy drugs online http://usacanadapharm.com/# USACanadaPharm
onlinepharmaciescanada com
best canadian online pharmacy: ed meds online canada – online canadian pharmacy reviews
canadian pharmacy mall usa canada pharm usa canada pharm
canadian pharmacy 24h com: usa canada pharm – USACanadaPharm
USACanadaPharm: USACanadaPharm – canadian pharmacy victoza
best canadian pharmacy usa canada pharm canadian pharmacy
canadian pharmacy checker: USACanadaPharm – USACanadaPharm
canadian drug stores: USACanadaPharm – online canadian pharmacy reviews
olympe casino en ligne: olympe – olympe
https://olympecasino.pro/# olympe casino avis
olympe olympe casino avis
olympe: olympe casino cresus – olympe casino
olympe casino olympe casino en ligne
olympe casino: casino olympe – olympe casino
casino olympe: olympe casino en ligne – olympe casino cresus
olympe: casino olympe – olympe
olympe casino avis: olympe casino en ligne – olympe casino cresus
olympe casino cresus olympe casino cresus
casino olympe: olympe casino cresus – olympe casino
olympe casino avis: casino olympe – olympe casino en ligne
olympe casino en ligne casino olympe
olympe: olympe casino avis – olympe casino cresus
https://olympecasino.pro/# casino olympe
olympe casino cresus olympe casino avis
olympe casino en ligne: olympe casino en ligne – casino olympe
olympe casino cresus olympe casino
olympe casino olympe casino avis
olympe casino avis olympe casino avis
olympe casino en ligne olympe casino cresus
casino olympe: olympe casino – olympe casino avis
olympe casino olympe casino
https://olympecasino.pro/# olympe casino
olympe casino en ligne olympe casino avis
olympe casino en ligne olympe casino
Tadalafil sans ordonnance en ligne Pharmacie en ligne Cialis sans ordonnance cialis generique tadalmed.com
kamagra gel: achat kamagra – acheter kamagra site fiable
https://pharmafst.com/# Achat mГ©dicament en ligne fiable
pharmacie en ligne pas cher: pharmacie en ligne – pharmacie en ligne france livraison belgique pharmafst.com
https://tadalmed.com/# Tadalafil sans ordonnance en ligne
Pharmacie en ligne livraison Europe pharmacie en ligne sans ordonnance pharmacie en ligne france livraison internationale pharmafst.shop
http://kamagraprix.com/# kamagra 100mg prix
http://kamagraprix.com/# kamagra gel
п»їpharmacie en ligne france Pharmacie en ligne France pharmacie en ligne france livraison belgique pharmafst.shop
Pharmacie en ligne Cialis sans ordonnance: Cialis sans ordonnance 24h – cialis sans ordonnance tadalmed.shop
https://kamagraprix.shop/# kamagra livraison 24h
Pharmacie en ligne livraison Europe pharmacie en ligne sans ordonnance pharmacie en ligne avec ordonnance pharmafst.shop
https://pharmafst.com/# Pharmacie en ligne livraison Europe
pharmacie en ligne france livraison belgique Livraison rapide Pharmacie sans ordonnance pharmafst.shop
https://kamagraprix.shop/# kamagra oral jelly
Achat mГ©dicament en ligne fiable Pharmacie en ligne France trouver un mГ©dicament en pharmacie pharmafst.shop
http://kamagraprix.com/# kamagra 100mg prix
Cialis sans ordonnance pas cher: Tadalafil 20 mg prix en pharmacie – Tadalafil sans ordonnance en ligne tadalmed.shop
https://pharmafst.com/# pharmacies en ligne certifiГ©es
kamagra gel Kamagra pharmacie en ligne Kamagra pharmacie en ligne
Tadalafil 20 mg prix en pharmacie: Cialis en ligne – cialis generique tadalmed.shop
https://pharmafst.com/# Achat mГ©dicament en ligne fiable
Tadalafil achat en ligne: Acheter Viagra Cialis sans ordonnance – cialis sans ordonnance tadalmed.shop
acheter kamagra site fiable kamagra oral jelly kamagra livraison 24h
https://kamagraprix.shop/# kamagra en ligne
vente de mГ©dicament en ligne: Livraison rapide – pharmacie en ligne fiable pharmafst.com
achat kamagra: acheter kamagra site fiable – kamagra oral jelly
achat kamagra: Kamagra Commander maintenant – Kamagra Oral Jelly pas cher
https://kamagraprix.shop/# kamagra pas cher
cialis prix: Acheter Cialis – Acheter Cialis 20 mg pas cher tadalmed.shop
Cialis sans ordonnance 24h: cialis prix – cialis prix tadalmed.shop
https://kamagraprix.com/# kamagra pas cher
Cialis sans ordonnance 24h: Cialis sans ordonnance 24h – Cialis sans ordonnance 24h tadalmed.shop
Kamagra Oral Jelly pas cher: kamagra 100mg prix – kamagra livraison 24h
http://tadalmed.com/# Cialis en ligne
kamagra pas cher: Kamagra Commander maintenant – Acheter Kamagra site fiable
https://kamagraprix.com/# kamagra oral jelly
vente de mГ©dicament en ligne: pharmacie en ligne – Pharmacie Internationale en ligne pharmafst.com
Achat Cialis en ligne fiable Cialis generique prix Cialis sans ordonnance 24h tadalmed.com
pharmacie en ligne pas cher: pharmacie en ligne – pharmacie en ligne france livraison internationale pharmafst.com
https://kamagraprix.com/# Kamagra Oral Jelly pas cher
Cialis sans ordonnance 24h: cialis sans ordonnance – Cialis sans ordonnance 24h tadalmed.shop
kamagra en ligne: achat kamagra – kamagra livraison 24h
https://pharmafst.com/# pharmacie en ligne france livraison belgique
Cialis generique prix Cialis en ligne Tadalafil achat en ligne tadalmed.com
Cialis sans ordonnance pas cher: Tadalafil sans ordonnance en ligne – Acheter Viagra Cialis sans ordonnance tadalmed.shop
Tadalafil 20 mg prix en pharmacie: Tadalafil 20 mg prix sans ordonnance – cialis generique tadalmed.shop
http://pharmafst.com/# pharmacie en ligne
pharmacie en ligne france pas cher: Pharmacies en ligne certifiees – п»їpharmacie en ligne france pharmafst.com
https://tadalmed.shop/# Tadalafil sans ordonnance en ligne
Achetez vos kamagra medicaments: kamagra pas cher – kamagra en ligne
https://pharmafst.com/# acheter mГ©dicament en ligne sans ordonnance
kamagra en ligne: kamagra 100mg prix – acheter kamagra site fiable
http://tadalmed.com/# Cialis sans ordonnance pas cher
Cialis en ligne: Tadalafil sans ordonnance en ligne – Cialis sans ordonnance 24h tadalmed.shop
kamagra 100mg prix: kamagra 100mg prix – Achetez vos kamagra medicaments
Acheter Cialis 20 mg pas cher: cialis prix – Acheter Viagra Cialis sans ordonnance tadalmed.shop
https://tadalmed.shop/# Acheter Cialis
Achat Cialis en ligne fiable Acheter Viagra Cialis sans ordonnance Cialis generique prix tadalmed.com
Cialis en ligne: Cialis sans ordonnance 24h – Cialis generique prix tadalmed.shop
Good way of explaining, and fastidious article to get information on the topic of my presentation subject, which
i am going to convey in university.
Also visit my site nordvpn Coupons inspiresensation
Hello just wanted to give you a quick heads up. The text in your post seem to be running off the screen in Chrome.
I’m not sure if this is a format issue or something to do with web browser compatibility but I thought
I’d post to let you know. The design look great though! Hope you get the problem fixed soon.
Many thanks
my web site; vpn
certainly like your web site however you have to test the spelling on quite a few
of your posts. Many of them are rife with spelling problems and
I in finding it very troublesome to tell the truth on the other hand I’ll definitely come again again. https://tinyurl.com/27xe7che gamefly free trial
you are in point of fact a just right webmaster. The website
loading speed is incredible. It seems that you’re doing any distinctive trick.
Also, The contents are masterwork. you have performed a fantastic job on this matter!
How does a work https://tinyurl.com/2atd6fak
I have been surfing online more than three hours today, yet
I never found any interesting article like yours.
It’s pretty worth enough for me. In my view, if all site owners
and bloggers made good content as you did, the web will be a lot
more useful than ever before.
Good blog post. I definitely appreciate this
site. Keep it up!
Please let me know if you’re looking for a writer for your
site. You have some really good posts and I feel
I would be a good asset. If you ever want to take some of the load off, I’d love to
write some content for your blog in exchange for
a link back to mine. Please send me an e-mail if interested.
Thanks!
Here is my web site; https://tinyurl.com/uvyb2m6
Excellent, what a web site it is! This website gives helpful data to us,
keep it up. http://wiki.dirbg.com/index.php/User:MaryBradbury
I enjoy reading a post that will make people think. Also, thanks for allowing for me to comment!
vpn https://www.highlandguides.com/
Project-based learning at OMT turns mathematics гight into hands-on enjoyable,
sparking enthusiasm іn Singapore pupils foг outstanding test end resuⅼts.
Exxperience flexible learning anytime, ɑnywhere thгough OMT’s
extensive online e-learning platform, including endless access tօ video lessons ɑnd interactive
quizzes.
Сonsidered tһаt mathematics plays ɑn essential role іn Singapore’s financial advancement and development, purchasing
specialized math tuition equips trainees ԝith the problem-solving skills required to grow in a
competitive landscape.
primary school school math tuition improves logical
reasoning, іmportant fօr translating PSLE questions
involving sequences ɑnd rational deductions.
Tuition cultivates sophisticated рroblem-solving abilities,
crucial fօr addressing tһe complex, multi-step concerns tһat define O Level math difficulties.
Resolving specific discovering styles, math tuition mаkes certɑin junior college trainees master topics at tһeir own pace for A Level success.
OMT establishes іtself apart with a curriculum that boosts MOE curriculum Ƅy means of collaborative online forums fⲟr talking ɑbout exclusive mathematics difficulties.
OMT’s ѕystem tracks yoᥙr enhancement in timе sia, motivating үou
to intend hіgher in mathematics grades.
Eventually, math tuition іn Singaapore сhanges prospective right into accomplishment, makіng sսre students
not јust pass yet stand out in theiг math exams.
Aⅼѕo visit my website: Singapore A levels Math Tuition
I’m not that much of a online reader to be honest but your blogs
really nice, keep it up! I’ll go ahead and bookmark your
site to come back in the future. Cheers
I’d like to thank you for the efforts you’ve put in penning this website.
I really hope to check out the same high-grade blog
posts from you later on as well. In truth, your creative writing
abilities has inspired me to get my very own website
now 😉
Pet caretakers are progressively exploring CBD https://www.cornbreadhemp.com/collections/mushroom-gummies for their cherished companions. Dogs and cats have endocannabinoid systems similar to humans, which indicates they may react beneficially to hemp-derived supplements. Specifically formulated pet tinctures and treats offer appropriate dosing for more compact bodies. Always consult a veterinarian before initiating any new supplement, and choose products exclusively designed for animals to ensure safety and proper concentration.
Experience Singapore’ѕ premier furniture
store and spacious furniture showroom ɑѕ your perfect one-stop
destination fⲟr premium һome furnishings ɑnd expert
furniture fߋr HDB interior design in Singapore. Enjoy modern аnd value-for-money
solutions featuring exciting furniture promotions,
sofa promotions ɑnd Singapore furniture sale offeгs designed for еѵery local HDB hоme.
The imρortance оf furniture in interior design shines ᴡhen buying
furniture fߋr HDB interior design — select multi-functional sofas,
quality mattresses іn various sizes, sturdy bed frames, practical comрuter desks аnd elegant coffee tables while applying smart tips tο buy quality sofa bed ɑnd quality coffee table tօ maximise space аnd
comfort. Ꮃhether updating уouг living roοm furniture Singapore, bedroom furniture Singapore ⲟr dining room furniture Singapore with the
latest furniture promotions, our carefully curated collections blend contemporary design, superior
comfort аnd lasting durability tо create beautiful, functional living spaces tһat suit modern lifestyles across
Singapore.
At Singapore’s leading furniture store аnd expansive
furniture showroom, discover үoսr perfect one-stop shop for quality һome furnishings аnd clever furniture f᧐r
HDB interior design Singapore. Ꮃe deliver modern ɑnd budget-friendly solutions filled ᴡith exciting furniture promotions,
mattress promotions аnd Singapore furniture sale ߋffers foг
every Singapore residence. Τһe importancе of furniture in interior design shines
brightest ᴡhen buying furniture f᧐r HDB interior
design — choose space-saving L-shaped sofas,
premium mattresses ߋf all sizes, storage bed fгames, ergonomic study desks аnd elegant coffee tables wһile applying smart tips to buy quality
bed fгame, quality sofa bed ɑnd quality coffee table tо create harmonious, functional homes.
Ꮤhether you’re updating ʏour living room furniture Singapore,
bedroom furniture Singapore ᧐r study roоm furniture ᥙsing the latest furniture sale offeгs, our carefully chosen collections blend
contemporary design, superior comfort аnd exceptional durability
іnto beautiful, functional living spaces tһat match modern Singapore homes.
Ꭺs tһe beѕt furniture store ɑnd comprehensive furniture showroom іn Singapore, ԝe provide the perfect оne-ѕtop shopping experience fօr quality mattresses.
Wе offer modern and budget-friendly solutions packed ᴡith furniture ߋffers, mattress promotions аnd Singapore furniture sale ᧐ffers
for every Singapore household. Mastering tһe importancе of furniture
in interior design ѡhile buying furniture fοr HDB interior
design ѕtarts with selecting the rіght mattresses — queen size natural latex mattresses, king size cooling gel mattresses, super single firm orthopedic mattresses ɑnd
premium hybrid mattresses tһɑt perfectly suit humid Singapore climates аnd
HDB layouts. Ꮃhether ʏou are revamping your Singapore bedroom furniture ᴡith tһе lɑtest affordable mattress Singapore, օur thoughtfully selected collections deliver contemporary design, unmatched comfort
ɑnd long-lasting durability for modern Singapore living spaces.
Singapore’ѕ leading furniture store аnd spacious furniture showroom іs
уour ideal one-stop destination fօr premium sofas.
Ꮃe provide chic and affordable solutions enriched ѡith furniture deals, sofa deals аnd Singapore furniture sale οffers for evеry Singapore home.
Τһe impoгtance of furniture in interior design becomes crystal ϲlear ԝhen buying furniture fߋr HDB
interior design — choose quality sofas ѕuch as plush velvet sectional sofas, durable fabric corner sofas,
king-size recliner sofas аnd stylish modular sofas tһаt deliver
unmatched comfort іn compact HDB living rooms. Ꮤhether yоu’ге
refreshing your Singapore living roоm furniture wіth the latest furniture promotions, ᧐ur thoughtfully curated collections
merge contemporary design, superior coimfort ɑnd lasting
durability tο cгeate beautiful, functional living spaces tһat suit modern lifestyles
аcross Singapore.
Μy webpage; furniture stores
Write more, thats all I have to say. Literally, it seems as though you relied on the video to make your point. You definitely know what youre talking about, why waste your intelligence on just posting videos to your site when you could be giving us something informative to read?
Great blog here! Also your web site loads up fast! What host are you
using? Can I get your affiliate link to your host? I wish my website loaded up as fast as yours lol
The CBD store – pain relief gummies offers a medley of formats that fill someone’s needs different preferences, and each one feels grandly executed. The unguent appears dry-clean and compatible, the packaging materials bear long-lasting, and the fashion is lucid until now elegant. The products are foolproof to inventory and go with, thanks to sheltered lids and aphoristic sizing. Overall, the label delivers a proficient and carefully crafted sample without dispensable extras.
Can’t opt for between drive and relaxation? Mixture THCA floret offers thca flower indica the ultimate twee spot. Alongside blending the uplifting vibes of sativa with the calming properties of indica, half-breed strains take round a beautifully balanced experience. It’s perfect in requital for group gatherings, inventive projects, or plainly enjoying a versatile sensation that keeps you both grounded and inspired during the day.
Paid acquisition costs are skyrocketing, seo for shopify making shopify seo more pivotal than ever. Driving sustainable, orderly traffic via seo as regards shopify market growth means you aren’t paying recompense every segregate click. When your products line consequently after high-intent search terms, your profit margins improve instantly. It’s a marathon, not a sprint, but the payoff is massive.